Subjects

Care & Services
診療内容について
澤田歯科医院は地域のかかりつけ歯科として、幅広いお悩みに対応しています。むし歯や歯周病の治療から、予防ケア、審美歯科、義歯まで、患者さま一人ひとりに合わせた丁寧な診療を行っております。不安なことや気になることがあれば、どうぞお気軽にご相談ください。
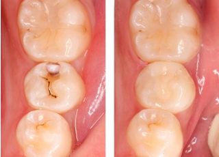
つめ物・かぶせ物
ニーズに合わせた材料と治療法
歯の詰め物やかぶせ物には、現在も保険適用の金属が多く使われています。しかし、健康意識の高まりや審美的な感覚の変化から、目立つ銀歯や金属色に抵抗を感じる方が増えてきました。
当院では、患者さま一人ひとりのご希望やライフスタイルに合わせて、自然な見た目に近づけるための治療法や材料をご提案しています。
セラミックなどの審美性に優れた素材をはじめ、機能性・耐久性を考慮した選択肢もご用意しています。
お口の状態や治療内容によっては、その日のうちに処置が可能なケースもあります。
まずはお気軽にご相談ください。

義歯
日頃のストレスを解消
「痛い」「噛めない」「はずれる」などが入れ歯、義歯に対する多くの不満ではないでしょうか?そこには原因があり、それまで使っていた義歯そのものが合わなかった場合も少なくありませんが、噛む力・歯ぐき(骨)の形や大きさ・あごの動きなど個人差があり、いくつもの要因が重なっていて、それに合わせた治療、作り方をしなければなりません。
部分入れ歯の場合は残っている歯の数や場所により、患者さま本人が思っているよりも、さらに複雑で難しい場合も少なくありません。
当院ではそれぞれ患者さまの状況をもとによく説明・相談し、また、将来的な変化にも対応可能で、長く快適に使ってもらえる義歯を提案します。

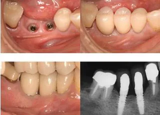
インプラント
快適な食生活と噛める喜びを
インプラントとは歯をむし歯や歯周病、外傷などで失った場合に、あごの骨に人工の歯根を入れる治療です。過去には部分入れ歯しか方法がなかった口の中に、インプラントで歯を入れられるようになりました。
入れ歯と比べて取り外しする必要もなく、歯ごたえのある物もしっかり噛めるようになり、見た目も自分の歯とほとんど変わりはありません。しかし、インプラントは誰にとっても合う治療とは限らず、口の中全体や将来的なことを含めて選択する必要があります。
極端に言えば患者さまが希望しても、条件に適さない場合は別の方法をお勧めする場合もあります。当院では、説明に十分な時間をかけ、患者さまに可能な限りご理解していただいた上で、ご納得いただける方法を提案します。
